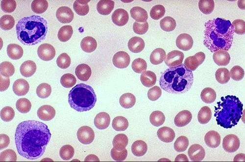
Leucocytes
- larger than red erythrocytes, almost colourless
- do not contain hemoglobin
- have nucleus (real cells)
- can live for many months or years
- amount: 4-9 x109 per l, newborn: 18-20x109/l
- produced in the red bone marrow, the lymph nodes and the spleen
- the main function is to protect body aginst invaders and our modified cells = cancer cells
- their number depends on the actual physiological state of organism
Classifying based on their structure:
a) agranulocytes - do not have granules in their cytoplasm, contain large nucleus
i. lymphocytes - small cells with round nucleus and little cytoplasm
- lymphocytes T > are maturing in thymus, Function : activate other leucocytes after the contact with the invader
- lymphocytes B , their function is producing antibodies after activation by lamphocytes T
ii. monocytes - the largest of the leucocytes, they are phagocytic cells and are able to move throught the blood capillary walls = diapedesis
b) granulocytes - have large granules in their cytoplasm and contain lobed nucleus, they are classified according to their stained appearance:
- eosinophils - phagocytic cells, their number increases in allergies, (stain red), important in inflammation
- basophils - rare (stain blue), their function isn´t clear
- neutrophils - phagocytic cells (stain light pink)
HLA (human leucocyte antigen) - most important system which is based on the presence of a antigen of the surface of leucocytes or white blood cells, it has a carow transplantation
Leucocytosis - describes increased amount of leucocytes as the result of some disease
Leukemia - describes increased amount of leucocytes as the result of abnormal = carcinogenic production of leucocytes

Leucocytes
No comments found.